Malignant Pleural Mesothelioma

Mesothelioma is a form of cancer that develops in the mesothelium, a thin layer of tissue that lines and protects organs. The most common type is pleural mesothelioma, which arises from the outer covering surrounding the lungs, called the pleura.

Our Capabilities

Our fellowship-trained experts are committed to delivering compassionate, world-class care. Our dedicated team has the expertise and experience treating patients with mesothelioma.

In one visit to our Mesothelioma Cancer Clinic, patients can see specialists from medical oncology, thoracic surgery, and radiation oncology. Through surgery, radiation, chemotherapy, and immunotherapy, we aim to preserve lung function and quality of life with less invasive surgery and targeted radiation therapy.

Compassionate Healing Starts Here

Click below to learn more about where you can find compassionate care.

We are the region's most advanced lung cancer center, offering you the right treatments delivered with deep compassion. Our highly trained experts collaborate to deliver innovative techniques and therapies tailored to your cancer.

To schedule an appointment, please call the UC Lung Cancer team at 513-585-UCCC.

ABOUT THIS CONDITION

Understanding Pleural Mesothelioma

What is malignant pleural mesothelioma?

Mesothelioma is a rare cancer originating in the mesothelial surfaces of the pleura also referred to as the pleural space or the lining surrounding the lungs. Eighty-one percent of mesotheliomas involve the pleura.

The mesothelium is a tissue that covers and protects the outer surface of some organs. These include the lungs, stomach, and heart. It also lines body cavities, such as the chest and belly (abdomen). It makes fluid that helps the organs slide against each other when you move and breathe.

Unlike many other types of cancer, mesothelioma often doesn’t grow as a tumor. Instead it grows along the thin tissue. Like many other forms of cancer, mesothelioma can spread, or metastasize either by way of the bloodstream or more slowly by the cells invading surrounding areas.

What are the symptoms of pleural mesothelioma?

Patients with MPM most commonly show symptoms of shortness of breath or chest pain. They can also have recurrent pleural effusions (fluid buildup around the lungs) and/or pleural thickening found incidentally on chest x-rays. Other symptoms commonly seen around diagnosis are:

  • Fatigue.

  • Insomnia.

  • Cough.

  • Chest wall mass.

  • Loss of appetite.

  • Weight loss.

Mesothelioma occurs most often in men in their 70s who have known exposure to asbestos 20-40 years prior to the diagnosis.

Causes and risk factors for pleural mesothelioma

The most common risk factor is known asbestos exposure. There is a long latency period, or delay, between exposure and diagnosis. There is around 20-40 years between the time someone is exposed until when they are diagnosed with MPM. Asbestos exposure accounts for at least 80-90% of all cases of MPM.

There are certain occupations that carry a higher risk of exposure to risk factors like high levels of asbestos. A few of these occupations include:

  • Auto mechanics.

  • Construction workers.

  • Firefighters.

  • Insulation installers.

  • Machinists.

  • Miners.

  • Power plant workers.

  • Railroad workers.

  • Shipyard workers.

Secondhand exposure commonly occurs when asbestos fibers are brought home on workers’ hair, skin and clothing.

Other risk factors: smoking (in the presence of asbestos exposure; tobacco use is synergistic) or in 10% of cases, people may have a genetic mutation such as the BAP1 mutation. BRCA1-Associated Protein (BAP1) is a gene which can increase the person's vulnerability to mesothelioma.

Can pleural mesothelioma be prevented?

There’s no sure way to prevent mesothelioma. It’s important to stay away from or limit exposure to asbestos. This is a big concern for people who work in certain industries. These include construction, insulation manufacturing, and textile manufacturing. Follow all safety precautions. You may need to wear protective clothing and a respirator.

Many older homes and other buildings may have materials that contain asbestos. If you think asbestos may be in your home, ask an expert to check your home. Don’t disturb asbestos or try to remove it yourself. If needed, hire a trained asbestos expert to check and remove asbestos in your home.

How is pleural mesothelioma diagnosed?

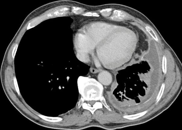
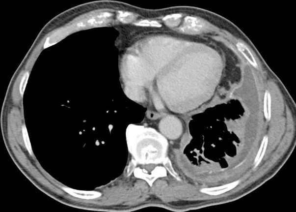
A thoracoscopic biopsy of the pleura using Video-Assisted Thoracoscopy (VATS) is the preferred diagnosis technique. Patients are sometimes diagnosed after a pleurocentesis, or procedure where fluid surrounding the lungs (if present) is drained and then analyzed. CT Scans are also effective and often used for detecting and diagnosing pleural mesothelioma.

After a diagnosis of mesothelioma, you’ll likely need other tests. These help your healthcare providers learn more about your cancer. They can help determine the stage of the cancer. The stage is how much and how far the cancer has spread (metastasized) in your body. It is one of the most important things to know when deciding how to treat the cancer.

Once your cancer is staged, your healthcare provider will talk with you about what the stage means for your treatment. Be sure to ask your healthcare provider to explain the stage of your cancer to you in a way you can understand.

The Stages of Pleural Mesothelioma

Stage I
Stage I means the cancer is localized in the pleura, a thin layer of tissue that covers the outside of your lungs.

Stage II
Stage II is when the cancer has spread to one lung and lymph nodes.

Stage III
This stage is cancer that has spread to the chest wall, abdomen and cardiac cavity.

Stage IV
Stage IV means the cancer has metastasized throughout the chest, abdomen, neck and bones.

Pleural Mesothelioma Prognosis (The Most Likely Outcome)

The most likely outcome for Malignant Pleural Mesothelioma will depend on the stage at which the patient is diagnosed, however, in most patients, the disease is discovered when it is already in the advanced, or later stages. As a result of finding this disease too late, the average life expectancy of patients is generally low - the median survival (time at which half of the patients are still living) is about 1 year; at 5 years, only 10% of patients are still alive.

By seeking treatment at an academic medical center, like UC Heath, from fellowship-trained experts with experience treating mesothelioma, the chances of survival are doubled.

What are the Treatment Options for Pleural Mesothelioma?

The NCCN Guidelines recommend that patients with Malignant Pleural Mesothelioma (MPM) be managed by a multidisciplinary team with experience in MPM. This is especially important since it is a rare cancer, seen in only 2500 Americans/year.

Treatment options include:

  • Thoracic surgery.

  • Radiation therapy.

  • Chemotherapy.

  • Immunotherapy.

  • Tumor-treating fields (TTF).

The NCCN guidelines recommend that surgical resection (removal of the cancer by surgery) should only be considered in a clinical trial setting or a center with expertise in MPM. At UC Health, we have this experience because of our fellowship-trained surgeons and radiation oncologists who have a specific focus in treating patients with mesothelioma.

What are the possible side effects of MPM treatments?

Cancer treatment such as chemotherapy and radiation can damage normal cells. This can cause side effects such as hair loss, mouth sores, and vomiting.

Talk with your healthcare provider about side effects that you might have and ways to manage them. There may be things you can do and medicines you can take to help prevent or control side effects.

Due to advancements in radiation therapy techniques, like IMRT and Proton Beam Therapy and our own highly experienced teams in mesothelioma treatment, radiation treatment for patients who have undergone surgery, are experiencing more positive outcomes with fewer side effects. These outcomes are only made possible by seeking treatment at highly experienced centers like ours, because we have trained for, treated and seen the majority of these cases.

Our Expertise:

We are the only healthcare system in the Cincinnati region with physicians who are fellowship-trained specifically for mesothelioma. We also have multidisciplinary experience of treating multiple patients a year with mesothelioma locally.

Why Choose Us?

Our skill and experience in surgical and radiotherapy comes from a multidisciplinary team approach to treating this disease. This team dynamic includes:

  • Dedicated multidisciplinary clinic.

  • Nurse navigator.

  • Robust immunotherapy and cancer therapeutic program.

  • Intensity-modulated radiation therapy and proton therapy.

  • Certified physicians able to prescribe brand new FDA approved treatments such as tumor-treating fields treatment, specifically for MPM patients.

The Academic Difference

Patients with mesothelioma survive twice as often if they are treated at academic medical centers that have experience in treating mesothelioma, as opposed to receiving treatment at community hospitals. Learn more about the academic difference here.

Contact Us

At UC Health, we lead the region in scientific discoveries and embrace a spirit of purpose – offering our patients and their families something beyond everyday healthcare. At UC Health, we offer hope.

x