COVID-19 Resources

Short- and Long-Term Lung Damage from COVID-19

Nov. 8, 2020

Christopher Radchenko, MD, UC Health pulmonary and critical care medicine specialist provides insight into how COVID-19 affects the lungs.


How does COVID-19 affect the overall respiratory system: short and long term? 

COVID-19 can affect the respiratory system in a variety of ways and across a spectrum of levels of disease severity, depending on a person’s immune system, age and comorbidities. Symptoms can range from mild, such as cough, shortness of breath and fevers, to critical disease, including respiratory failure, shock and multi-organ system failure.

It is particularly important that patients who have underlying lung disease can certainly have worsening of those conditions with contraction or exposure to COVID-19. With this, COVID-19 can cause overall worsening of these conditions, such as asthma, chronic obstructive pulmonary disease (COPD), interstitial lung disease, etc.

For those people who are diagnosed with COVID-19 and then recover, what are the short-term effects of COVID-19 on the lungs?

According to the World Health Organization, recovery time appears to be around two weeks for mild infection and three to six weeks for severe disease. However, this is variable and depends on a patient’s pre-existing comorbidities in addition to illness severity.

Several surveys conducted in the U.S. and Italy are showing that only 39% of those who had been hospitalized reported a return to baseline health by 14-21 days after diagnosis.

Similarly, in a study of 143 patients hospitalized for COVID-19, only 13% were symptom-free after a mean of 60 days following disease onset.

The most common symptoms were dyspnea (43%), fatigue (53%), joint pain and chest pain.

However, there have been reports of persistent severe illness with weeks of fevers and pneumonia persisting in immunosuppressed patients.

With milder infection, patients can still have prolonged symptoms. A recent survey showed that only 65% reported a return to baseline health by 14-21 days after diagnosis. Those who did return to baseline health did so a median of seven days after the diagnosis. Symptoms that can persist include cough (43%), fatigue (35%) and rarely fevers and chills in those with prior mild infection.

What are the physiological changes in lung structure and function that causes serious complications? What causes these changes specifically?

A major issue with COVID-19 is with gas exchange in the alveolus. Usually, there is a very tight connection between the alveolar epithelium (type-1 cells) and the capillary. COVID-19 infects AT2 cells, kills them and floods the alveolus. In addition, there is evidence for microthrombosis, which may block the vascular side.

Clinically, this may appear as several conditions: severe bronchopneumonia, acute respiratory distress syndrome (ARDS) or sepsis.

Pneumonia is inflammation and fluid in the lungs, making it difficult to breathe. Patients can experience shortness of breath, fevers and cough, which can be productive. More severe inflammation can lead to ARDS, which can require significant treatment including the use of oxygen therapies, including mechanical ventilation or even extracorporeal membrane oxygenation (ECMO), which is a lung bypass machine that oxygenates the blood. If a patient develops this severe of a syndrome, this can lead to longer-lasting effects on the lungs, such as fibrosis (scarring of the lung).

Sepsis is a syndrome of abnormal inflammation that usually results from infection. It can lead to multiple organs not working in a coordinated fashion. This syndrome can require support for failing organs, and thereafter, have a lasting impact on their long-term functionality. 

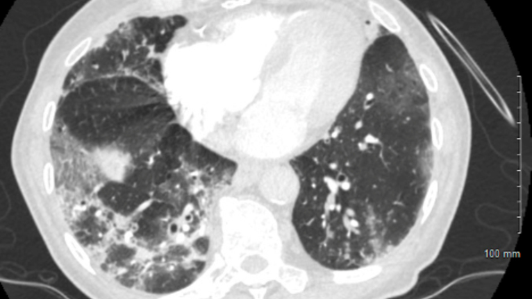
COVID-19 Lung X-Ray - 1 - Lung Damage

Figure 3 – CT chest showing multifocal ground glass opacities with intermixed consolidation from COVID-19 bronchopneumonia.

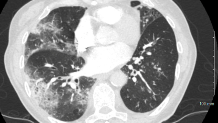
COVID-19 Lung X-Ray - 2 - Lung Damage

Figure 4 - CT chest showing multifocal ground glass opacities with intermixed consolidation from COVID-19 bronchopneumonia.

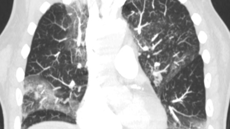
COVID-19 Lung X-Ray - 3 - Lung Damage

Figure 7 - CT chest showing multifocal ground glass opacities from COVID-19 bronchopneumonia.

Can COVID-19 cause permanent lung damage? For those who have underlying health conditions, what does long-term lung damage mean for them?

Yes, it's possible and perhaps likely that people with chronic lung injury are at higher risk of long-term complications. We don't know, but data from severe acute respiratory syndrome (SARS) and middle east respiratory syndrome (MERS) suggests that as many as 50% of people who have had COVID-19 may have some lung damage. How bad it will be and how much of an impact they will have on their life is unclear.

Can lung damage from this virus be reversed in any way? How likely is an infected person able to recover and regain lung function?

Current treatments are effective in reducing the amount of initial damage, reducing the severity, aimed at reducing the amount of propagating injury and the duration. Depending on the severity of respiratory inflammation and damage, as well as patient comorbidities, duration of injury and genetics, patients can see improvement in their lung function. Analogous to having pneumonia, over time, patients’ lung function can recover. Looking at previous experience with SARS and MERS coronaviruses, studies following patients after developing pulmonary fibrosis showed that pulmonary lesions diminished primarily in the first year after recovery. In cases of severe inflammation, the challenge is with the development of pulmonary fibrosis. Chronic inflammation has been considered as the main cause of pulmonary fibrosis and may lead to epithelial damage and fibroblast activation. Studies are ongoing that test antifibrotic agents. 

Do those who are “vaping,” or using e-cigarettes, have a higher risk of contracting COVID-19 and subsequently experiencing respiratory complications?  

In a recent national cross-sectional online survey of those ages 13-24 years old conducted in May 2020, they compared e-cigarette users to non-users. They found an increased risk of testing positive for COVID 19 among e-cigarette users. Those who used cigarettes and e-cigarettes were seven times more likely, compared to those with only use of e-cigarettes who were five times as likely as non-users. In the same study, those who were overweight or underweight were at two and a half times greater risk of testing positive for COVID-19. 

The reasoning is proposed to be secondary to heightened exposure to nicotine and other chemicals that can cause lung damage; the repeated touching of one's hands to mouth and face; and sharing devices, which is also popular among users.

As to whether subsequent symptom severity is greater, this isn’t known at this time.

Why is it important for consumers to understand how COVID-19 can affect the lungs?

As mentioned above, it appears that individuals smoking or using e-cigarettes are more likely to test positive for COVID-19. The best advice is to quit. However, because we know it’s difficult to quit, bear in mind to wash hands frequently around the time of smoking, don’t share devices and be cognizant of touching your face, mouth, etc. Also, continue to practice good social distancing while you’re smoking.

How can the chance of lung damage from COVID-19 be lessened?

If you have chronic medical conditions, such as diabetes, COPD or heart disease, it is important to ensure that you are medically optimized. Take your medications as prescribed and monitor your blood sugar, blood pressure and fluid status, and make sure you are breathing appropriately.

For everyone, it’s important to maintain adequate nutrition, eat healthy and stay hydrated appropriately. Ensure that you’re up to date on your vaccinations, get your flu shot and a pneumonia vaccine if you are in the appropriate age group. Although you may see reports of vitamins, minerals and prophylaxis medications to prevent/reduce the damage, we don’t have studies that are supporting it at this time.

Can you catch COVID-19 more than once?

We don’t know how long naturally acquired immunity to COVID-19 lasts after initial infection, and particularly in cases of mild disease which may not generate as robust immune response. There are reports of patients becoming re-infected; however, the severity of subsequent infection may be less. With the current vaccination trials underway, participants are generating neutralizing antibodies, and we should gather much more information regarding the immune response to infection from this data.

x