
Tackling Lung Cancer: A Multidisciplinary Approach to Screening and Research
The University of Cincinnati (UC) Cancer Institute Comprehensive Lung Cancer Center has a robust lung cancer screening program. The team recently reported that lung cancer screening could be performed safely and effectively in a Midwestern region known for histoplasmosis, a pulmonary nodule causing disorder that leads to a higher percentage of false positive screens.1
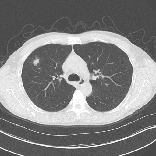
The UC Lung Cancer Center was proactive in adopting the United States Preventive Services Task Force2 (USPSTF) 2013 recommendation for low-dose computed tomography (CT) for lung cancer screening. “We formed a multidisciplinary Lung Cancer Screening Program consisting of specialists in thoracic surgery, pulmonary medicine, medical oncology, radiation oncology, chest radiology and lung pathology,” says Elsira Pina, DO, pulmonary lung cancer specialist and professor of medicine. The UC Lung Cancer Center follows national guidelines for screening: annual low-dose CT screening for adults aged 55 to 79 years who have at least a 30 pack-year (e.g. 1 pack per day for 30 years, or two packs per day for 15 years) smoking history.
The critical advantage of low-dose CT screening is that lung cancers are detected at an earlier, more curable stage (largely, stage 1), “when detection results in both increased survival and a decreased mortality,” says Dr. Pina. The landmark study, The National Lung Screening Trial (NLST), demonstrated a 20% reduction in mortality from lung cancer with low-dose CT screening compared to chest x-ray. The USPSTF recommendation came after extensive review of the risks and benefits of low-dose CT scans in detecting lung cancer and lowering mortality rates, and after examination of concerns about potential drawbacks, such as radiation dose from serial imaging, false-positive findings and overdiagnosis.3-7
Multidisciplinary Approach to Lung Cancer Screening
Patients who enroll in the Center’s screening program receive an initial low-dose CT scan and, depending on the results, are advised to continue annual screening or further workup. If more diagnostic procedures such as endobronchial ultrasounds and/or navigational bronchoscopy are necessary, they are performed by pulmonologists skilled in advanced diagnostic procedures. All results are reviewed by the multidisciplinary lung cancer team in a weekly lung cancer tumor board. Dedicated nurse coordinators guide patients through the screening process and coordinate all facets of care. The Center also works closely with the patient’s primary care physician, to ensure appropriate follow-up.
“Our patients have been very pleased with the multi-disciplinary approach to lung cancer screening,” says Dr. Pina. “It is comforting for them to know that a team of doctors is reviewing their results and tailoring care to their particular situations.” To date, the Center has screened 744 patients and has detected 18 lung cancers (2.4%). Lung cancer screening provides a valuable opportunity to address ongoing tobacco use. “When patients concerned about the possibility of lung cancer are seen at the Center, we can engage them in a deliberate discussion about smoking cessation and encourage them to enroll in a tobacco use treatment program such as UC’s Win by Quitting Comprehensive Smoking Cessation Program,” says Dr. Pina.
“In addition to low-dose CT screening, there is ongoing research in tumor biomarkers,” she says. “Tumor biomarkers may one day identify individuals with significantly higher lung-cancer risk and further increase the sensitivity of early stage lung cancer detection than is currently achievable with low-dose CT screening alone.”
Ongoing, Cutting-Edge Lung Cancer Research
The UC Cancer Institute Comprehensive Lung Cancer Center is actively involved in research, with unique expertise in lung epithelial biology, progenitor/stem cell identification/biology, and the genetic epidemiology of lung cancer. Molecular profiling of lung tumors to individualize patient care is a particular interest of the group, and the team maintains a lung cancer tissue bank and tumor registry that currently includes data and samples from more than 700 patients.
The UC Cancer Institute Comprehensive Lung Cancer Center, the only multidisciplinary lung cancer screening program in the region, has been designated a Screening Center of Excellence by the Lung Cancer Alliance.
References:
- Starnes SL, Reed MF, Meyer CA, Shipley RT, Jazieh AR, Pina EM, et al. Can lung cancer screening by computed tomography be effective in areas with endemic histoplasmosis? J Thorac Cardiovasc Surg. 2011;141:688-693.
- U.S. Preventive Services Task Force. Lung cancer: screening. Available at: http://www.uspreventiveservicestaskforce.org/Page/Document/UpdateSummaryFinal/lung-cancer-screening. Accessed: February 26, 2016.
- The National Lung Screening Trial Research Team. Reduced lung-cancer mortality with low-dose computed tomographic screening. N Engl J Med. 2011;365:395-409.
- Patz EF, Goodman PC, Bepler G. Screening for lung cancer. N Engl J Med. 2000;343:1627-1633.
- The International Early Lung Cancer Action Program Investigators. Survival of patients with stage I lung cancer detected on CT screening. N Engl J Med. 2006;355:1763-1771.
- Henschke CI, McCauley DI, Yankelivitz DF, et al. Early Lung Cancer Action Project: overall design and findings from baseline screening. Lancet. 1999;354:99-105.
- Caverly T. Selecting the best candidates for lung cancer screening. JAMA Inter Med. 2015;175:898-900. Editorial.
Elsira Pina, DO
Pulmonary Lung Cancer Specialist
Professor of Medicine
(513) 475-8523
elsira.pina@uc.edu

