
Optimal Management of Patients Surviving an Out of Hospital Cardiac Arrest
Patients who suffer cardiac arrests outside of hospitals generally die. Mortality is 90%, according to 2013 data reported by the American Heart Association (AHA).
Read more →
University of Cincinnati Medical Center is pleased to share with you Cardiovascular Insights, an educational resource with information on the cutting-edge research, clinical trials, training and innovative treatments that are advancing the field.

Patients who suffer cardiac arrests outside of hospitals generally die. Mortality is 90%, according to 2013 data reported by the American Heart Association (AHA).
Read more →
Heart function and blood pressure in mice exposed to bisphenol A (BPA) from birth though young adulthood are affected differently in males and females, with females at greater risk of damage from stress, a study from a University of Cincinnati (UC) researcher has found.
Read more →
Evangelia (Litsa) Kranias, PhD, Hanna Professor and director of cardiovascular biology in the University of Cincinnati Department of Pharmacology and Cell Biophysics, was honored at the annual meeting of the International Society for Heart Research (ISHR) North American Section.
Read more →
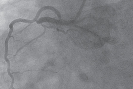
In the hands of experienced operators and high-volume transradial catheterization centers, transradial coronary angiography and intervention offer improved patient comfort, decreased access-site complications, and lower costs without compromising procedural success or long-term outcomes.
Read more →
A University of Cincinnati researcher has found that Bisphenol S (BPS) in consumer products may have similar toxic effects on the heart as previously reported for Bisphenol A (BPA).
Read more →
University of Cincinnati researchers Evangelia Kranias, PhD, Jack Rubinstein, MD, and Hong-Sheng Wang, PhD, are among the co-authors of a study recently published in the Journal of the American Heart Association identifying a genetic variant in a cardiac protein that can be linked to heart rhythm malfunction and sudden cardiac death in dilated cardiomyopathy patients.
Read more →