Chronic Obstructive Pulmonary Disease (COPD)

COPD is a progressive lung condition that encompasses a group of lung disorders, primarily chronic bronchitis, and emphysema, which lead to breathing difficulties.

About This Condition

Understanding Chronic Obstructive Pulmonary Disease (COPD)

Chronic Obstructive Pulmonary Disease (COPD) is a progressive lung disease characterized by persistent airflow limitation. It falls under the category of chronic lung diseases, which also includes conditions like chronic bronchitis, emphysema, and frequent exacerbator. COPD primarily affects the lungs, leading to breathing difficulties that can significantly impact daily life.

Classification of COPD

  • Emphysema: In this type, the air sacs (alveoli) in the lungs are damaged, leading to reduced oxygen exchange and shortness of breath.
  • Chronic Bronchitis: This form is defined by a long-term cough with mucus production. It results from inflammation of the bronchial tubes, which carry air to and from the lungs.
  • Frequent Exacerbator: This form is defined by frequent outpatient visits, emergency department visits, or hospitalizations for acute attacks (exacerbations) of COPD typically resulting in steroid and antibiotic prescriptions.

Key Characteristics

  • Chronic Nature: COPD is a long-term condition that worsens over time, requiring ongoing management.
  • Airflow Limitation: Patients experience difficulty in exhaling air, which can lead to a feeling of breathlessness, especially during physical activities.

Understanding COPD is essential for recognizing its symptoms and seeking appropriate treatment. Early diagnosis and management can help improve quality of life and slow disease progression.

Causes and Risk Factors

Chronic Obstructive Pulmonary Disease (COPD) primarily arises from long-term exposure to harmful substances that damage the lungs. The most significant cause is smoking, which accounts for the majority of COPD cases.

Smoking and Tobacco Smoke

  • Cigarette Smoking: The leading cause of COPD, with both active and passive smokers at risk.
  • Cigar and Pipe Smoking: Also contribute to lung damage and increase the likelihood of developing COPD.

Environmental Factors

  • Air Pollution: Long-term exposure to outdoor pollutants, such as vehicle emissions and industrial discharges, can exacerbate lung conditions.
  • Indoor Pollutants: Exposure to secondhand smoke, cooking fumes, and chemicals from household products can also be harmful.

Occupational Exposures

  • Chemical Fumes: Workers in industries like construction, mining, and manufacturing may be exposed to irritants that increase COPD risk.
  • Dust: Inhalation of dust from materials such as coal, grain, or silica can lead to lung damage over time.

Genetic Factors

  • Alpha-1 Antitrypsin Deficiency: A rare genetic condition that can lead to COPD, particularly in non-smokers.

Additional Risk Factors

  • Age: The risk of developing COPD increases with age, as lung function naturally declines over time.
  • History of Respiratory Infections: Frequent respiratory infections during childhood can contribute to the development of COPD later in life.

Understanding these causes and risk factors is essential for prevention and early intervention, allowing individuals to make informed choices about their lung health.

Understanding COPD Symptoms

Chronic Obstructive Pulmonary Disease (COPD) presents a range of symptoms that can significantly impact daily life. Recognizing these symptoms early is essential for effective management and improving quality of life.

Common Symptoms

  • Shortness of Breath: This is often the most distressing symptom, especially during physical activities. Patients may find themselves easily fatigued or unable to keep up with peers.
  • Chronic Cough: A persistent cough that may produce mucus is common. This cough can be bothersome and may worsen over time.
  • Wheezing: A whistling sound during breathing can occur, indicating narrowed airways. This symptom may be more pronounced during exertion or at night.
  • Chest Tightness: Patients may experience a feeling of pressure or tightness in the chest with activity, which can be uncomfortable and anxiety-inducing.

Impact on Daily Life

These symptoms can lead to:

  • Limitations in Activities: Many individuals with COPD may avoid physical activities they once enjoyed due to breathlessness or fatigue.
  • Emotional Challenges: The chronic nature of these symptoms can lead to feelings of frustration, anxiety, or depression, affecting overall well-being.
  • Social Withdrawal: As symptoms worsen, patients may isolate themselves from social situations, further impacting mental health.
  • Frequent Healthcare Utilization: With increasing acute attacks (exacerbations), more frequent visits to healthcare providers are necessary to obtain treatment to resolve them.

Understanding these symptoms is vital for patients and caregivers. Early recognition and proactive management can help maintain a better quality of life and prevent exacerbations.

The Importance of Lung Function

Chronic Obstructive Pulmonary Disease (COPD) significantly impacts lung function, which is essential for overall health. Lung function refers to how well the lungs can take in air and deliver oxygen to the bloodstream. In COPD, this function is compromised, leading to a range of symptoms and challenges.

Airflow Limitation

  • Definition: Airflow limitation is a hallmark of COPD, characterized by a reduced ability to exhale air from the lungs.
  • Consequences: This limitation can lead to feelings of breathlessness, especially during physical activities, making daily tasks more challenging.

Lung Volume Changes

  • Increased Air Trapping: In certain forms of COPD, air is trapped and unable to be used for breathing. This is known as emphysema or “bad lung.” This causes compression of “good lung” resulting in chronic shortness of breath.

Importance of Monitoring

  • Regular Assessments: Monitoring lung function through tests like spirometry is crucial for managing COPD effectively.
  • Understanding Progression: Regular assessments help patients and healthcare providers understand the disease's progression and adjust treatment plans accordingly.

Understanding how COPD affects lung function empowers patients to take an active role in their care. By recognizing the implications of airflow limitation and increased air trapping, individuals can work closely with healthcare professionals to manage their symptoms and improve their overall well-being.

Types of COPD

Chronic Obstructive Pulmonary Disease (COPD) primarily consists of three main types: chronic bronchitis, frequent exacerbator, and emphysema. Each type has distinct characteristics and impacts on lung function.

Chronic Bronchitis

  • Definition: Chronic bronchitis is characterized by inflammation of the bronchial tubes, leading to increased mucus production.
  • Symptoms: Patients often experience a persistent cough that produces sputum, shortness of breath, and wheezing.
  • Causes: This type is commonly caused by long-term exposure to irritants, particularly tobacco smoke and air pollution.

Emphysema

  • Definition: Emphysema involves the gradual destruction of the alveoli, the tiny air sacs in the lungs where gas exchange occurs.
  • Symptoms: Individuals may notice difficulty breathing, especially during physical activity, and a feeling of tightness in the chest.
  • Causes: Like chronic bronchitis, emphysema is primarily linked to smoking and environmental pollutants.

Frequent Exacerbator

  • Definition: A patient who experiences more than two individual attacks (exacerbations) of their COPD per year.
  • Symptoms: Each attack (exacerbation) is often defined by a worsening cough including increased mucous production or changes in the color of the mucous as well as increased shortness of breath.
  • Causes: infections (including viral and bacterial), environmental pollution, amongst other triggers.

Key Differences

  • Mucus Production: Chronic bronchitis is marked by chronic excessive mucus and acute attacks of excessive mucous define COPD exacerbations, while emphysema typically has less mucus but more significant airflow limitation.
  • Lung Damage: Emphysema leads to irreversible damage to the alveoli, whereas chronic bronchitis and frequent exacerbators primarily affect the airways.

Understanding these types of COPD is essential for effective management and treatment, allowing healthcare providers to tailor interventions based on the specific characteristics of the disease. Patients often have more than one type of COPD. 

Diagnosis of COPD

Diagnosing chronic obstructive pulmonary disease (COPD) involves a comprehensive evaluation by healthcare professionals. The process typically includes a combination of patient history, physical examinations, and specific diagnostic tests.

Key Diagnostic Tests

  • Spirometry: This is the primary test used to diagnose COPD. It measures how much air you can breathe in and out, as well as how quickly you can exhale. A reduced airflow indicates potential COPD.
  • Chest X-ray: This imaging test helps rule out other lung conditions and can show signs of COPD, such as hyperinflation of the lungs.
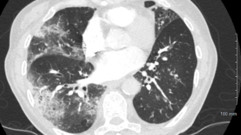
  • CT Scan: A computed tomography (CT) scan provides detailed images of the lungs and can help identify emphysema or other lung abnormalities.

Role of Health Professionals

  • Pulmonologists: Specialists in lung diseases, pulmonologists play a critical role in diagnosing and managing COPD. They interpret test results and develop treatment plans tailored to the patient's needs.
  • Primary Care Physicians: Often the first point of contact, these doctors assess symptoms and may initiate the diagnostic process, referring patients to specialists when necessary.

Importance of Early Diagnosis

Early diagnosis of COPD is vital for effective management. Recognizing symptoms and obtaining a diagnosis can lead to timely interventions, improving quality of life and slowing disease progression. Regular follow-ups and monitoring are essential components of ongoing care for individuals with COPD. It is imperative to quit inhalational exposures including smoking cigarettes, cigars, and marijuana amongst others. 

Managing COPD: Treatment Options

Managing chronic obstructive pulmonary disease (COPD) involves a combination of medications, therapies, and lifestyle changes tailored to individual needs. The goal is to alleviate symptoms, improve quality of life, and slow disease progression.

Medications – Inhalers:

  • Bronchodilators: These medications help relax the muscles around the airways, making it easier to breathe. They can be short-acting for quick relief or long-acting for ongoing control.
  • Inhaled corticosteroids: These reduce inflammation in the airways, helping to prevent exacerbations and improve lung function.
  • Combination inhalers: These contain both bronchodilators and corticosteroids for comprehensive management.

There are many inhalers on the market that have similar active ingredients. Some inhalers can be used together, while others may interact poorly and cause increased levels of certain classes of medications. We encourage all patients who are being seen for a diagnosis of COPD to bring all home inhalers with them to their office visits. Additionally, insurance companies will change their preferred inhalers annually so there may be overlapping duplicates of inhaler medications during these transition periods with completely separate names and appearances.

Medications – Non-Inhalers:

  • Oral Medications: Patients with frequent exacerbations or chronic cough may be candidates for oral medications that can assist with reducing acute attacks (exacerbations) of COPD.

Oxygen Therapy

For patients with low oxygen levels, supplemental oxygen can enhance breathing and overall well-being. It is typically prescribed for use at home, especially during activities or sleep. This needs to be qualified annually to determine ongoing need for an oxygen prescription, especially after recovery from an acute illness. Shortness of breath may not be responsive to oxygen therapy if not associated with low oxygen levels.

Pulmonary Rehabilitation

This program combines education, exercise training, and nutritional advice to help patients manage their COPD effectively. It empowers individuals to take control of their health and improve their physical endurance.

COPD Action Plan

A personalized COPD action plan is essential for managing symptoms. It outlines daily management strategies, recognizes early signs of exacerbation, and specifies when to seek medical help.

Lifestyle Changes

  • Quitting smoking: The most significant step in managing COPD is to stop smoking, which can slow disease progression.
  • Avoiding lung irritants: Reducing exposure to pollutants, allergens, and respiratory irritants can help minimize symptoms.

By understanding and utilizing these treatment options, patients can better manage their COPD and maintain a more active lifestyle.

Coping with COPD Exacerbations

COPD exacerbations are episodes where symptoms worsen significantly, often requiring additional medical attention. Recognizing these exacerbations early can help manage them effectively and prevent further complications.

Identifying Symptoms

Common signs of an exacerbation include:

  • Increased shortness of breath
  • Worsening cough
  • Changes in sputum color or volume

Management Strategies

To cope with exacerbations, consider the following approaches:

  • Medication Adjustment: Consult your healthcare provider about adjusting bronchodilators or corticosteroids during an exacerbation.
  • Oxygen Therapy: If prescribed, use supplemental oxygen to maintain adequate oxygen levels.
  • Pulmonary Rehabilitation: Engage in rehabilitation programs that focus on breathing techniques and physical conditioning.

Importance of Action Plans

Having a COPD action plan is essential. This personalized plan outlines:

  • When to seek medical help
  • Steps to take during an exacerbation
  • Contact information for healthcare providers

By being proactive and prepared, patients can better manage COPD exacerbations, leading to improved health outcomes and a better quality of life.

Lifestyle Changes and Support

Making lifestyle changes can significantly improve lung health for individuals with chronic obstructive pulmonary disease (COPD). Here are key adjustments that can enhance quality of life:

Quitting Smoking

  • Primary Step: The most impactful change is quitting smoking, which can slow disease progression and improve lung function.
  • Resources: Support programs and cessation aids are available through healthcare providers and organizations including utilizing local resources by reaching out to 1-800-QUIT-NOW.

Avoiding Lung Irritants

  • Environmental Factors: Reducing exposure to pollutants, dust, and chemical fumes is essential.
  • Home Environment: Keeping indoor air clean by using air purifiers, avoiding strong odors, and reducing reliance on open flame cooking can help.

Nutrition and Exercise

  • Balanced Diet: A nutritious diet supports overall health and can help manage COPD symptoms. This can assist in reducing build-up of carbon dioxide in the body.
  • Physical Activity: Engaging in regular, moderate exercise improves lung capacity and endurance. Activities like walking or swimming are beneficial.

Support Networks

  • Community Resources: Organizations like the American Lung Association and COPD Foundation offer valuable resources, including educational materials and support groups.
  • Peer Support: Connecting with others who have COPD can provide emotional support and practical advice. Local community can be found through participating in pulmonary rehabilitation.

Making these lifestyle changes, along with seeking support, can empower individuals with COPD to manage their condition effectively and improve their overall well-being.

Advanced Treatments for Severe COPD

Severe chronic obstructive pulmonary disease (COPD) may require advanced treatment options when standard therapies are insufficient. These treatments aim to improve lung function and enhance the quality of life for patients.

Lung Volume Reduction Procedures

Lung volume reduction procedures aim to improve lung function in patients with certain lung diseases, primarily emphysema. There are two main types:

Lung Volume Reduction Surgery (LVRS)

  • Purpose: LVRS surgically removes damaged lung tissue (typically from the upper lobes), allowing the remaining healthy tissue to expand and work more efficiently.
  • Candidates: Suitable for patients with severe emphysema who have poor lung function despite medication and pulmonary rehabilitation. Ideal candidates have air trapping with significant damage in the upper lobes and some remaining healthy lung function in the lower lobes.
  • Benefits: LVRS can lead to improved breathing, increased exercise tolerance, and enhanced quality of life for some patients.
  • Risks: Like any surgery, LVRS carries risks such as infection, bleeding, and potential complications from anesthesia.

Bronchoscopic Lung Volume Reduction (BLVR)

  • Purpose: BLVR is a minimally invasive procedure performed through a bronchoscope (a flexible tube inserted through the mouth or nose into the lungs). It involves placing small one-way valves in the airways leading to the most damaged lung sections. These valves allow trapped air to escape resulting in improved lung volume and function of the remaining healthy tissue. UC Health offers both one-way valves on the market including Pulmonx Zephyr valves and Olympus Spiration valves.
  • Candidates: BLVR is an option for patients with severe emphysema and air trapping who have poor lung function despite medications and pulmonary rehabilitation. It can be performed on both upper and lower lobes in addition to patients with alpha-1 antitrypsin disease (a genetic, inherited form of COPD). Extensive testing is performed prior to proceeding to ensure patients will find benefits from the procedure.
  • Benefits: BLVR may improve breathing, exercise capacity, and quality of life with a less invasive approach than LVRS. It is a reversible procedure with possibility of removal of the valves if the patient does not find benefit from them. They are intended to be permanent however with long-standing effects.
  • Risks: Potential risks include airway irritation resulting in acute post-procedure coughing that improves over time, a small risk of infection and COPD exacerbation, valve migration due to how the body heals around the valves, and pneumothorax (collapsed lung due to air compression) requiring at least a 3-night hospital stay for close monitoring.

Important Note: Both LVRS and BLVR are complex procedures. A thorough evaluation by a pulmonologist or thoracic surgeon is necessary to determine the most appropriate treatment option for each individual. Our program will assess for candidacy for both procedures to offer 

Lung Transplantation

  • Indication: This option is considered for patients with end-stage COPD who have exhausted other treatment options.
  • Process: Involves replacing the diseased lung with a healthy lung from a donor.
  • Considerations: Requires careful evaluation and ongoing management to prevent rejection and complications. UC Health currently does not offer lung transplantation, although we work with nearby transplant centers to advocate for patients who are candidates.

Oxygen Therapy

  • Role: Supplemental oxygen can alleviate symptoms and improve oxygen levels in the blood, especially during physical activity.
  • Usage: Patients may use oxygen therapy continuously or only during exertion, depending on their needs.
  • Impact: Helps enhance overall well-being and prolongs life in those with severe COPD who have low oxygen levels.

These advanced treatments provide hope for patients facing severe COPD, offering options that can significantly improve their health and daily functioning.

Living with COPD: Patient Perspectives

Chris’s Story

“A Breath of New Life with Lung Volume Reduction Surgery”

For years, Chris was dependent on supplemental oxygen due to a progressive lung condition diagnosed in 2014. This once-active Northern Kentucky resident experienced a significant decline in lung function, making everyday tasks, such as climbing stairs and tying her shoes, increasingly difficult. Read her full story here.

Mike’s Story

“Breathing Easy Thanks to a New, Innovative Procedure”

Mike Fahey, 66, is used to huffing and puffing. As a U.S. Navy veteran, he regularly worked out to stay in shape while traveling across the country until being honorably discharged in the mid-1970s in Charleston, South Carolina. Read his full story here.

The Path Forward

Chronic obstructive pulmonary disease (COPD) is a serious condition that requires early diagnosis and ongoing management. Recognizing the symptoms and understanding the types of COPD can empower patients to seek timely medical advice.

Effective management strategies, including medication, lifestyle changes, and pulmonary rehabilitation, play a vital role in improving quality of life. Patients are encouraged to stay informed about their condition and actively participate in their treatment plans.

Support from healthcare professionals and organizations can provide valuable resources and guidance. Remember, taking proactive steps towards managing COPD can lead to better health outcomes and a more fulfilling life.

Contact Us

At UC Health, we lead the region in scientific discoveries and embrace a spirit of purpose – offering our patients and their families something beyond everyday healthcare. At UC Health, we offer hope.

x